
1 結果和結論寫在前面
1.添加0.1%溶血卵磷脂組生長性能最佳,顯著提高脂質沉積率和粗脂肪表觀消化率。
2.添加0.1%溶血卵磷脂組降低肝胰腺丙二醛水平并緩解內質網應激。
3.添加0.1%溶血卵磷脂組還表現出更完整的肝胰腺組織結構與更穩定的脂代謝穩態。
4.較高添加水平(溶血卵磷脂≥1.5%)雖促進脂質蓄積并增強脂代謝酶活性,但存在誘發氧化應激及組織形態劣化的風險。
5.各組間抗氧化酶活性無顯著差異。
6.推測溶血卵磷脂可能通過Ca2+/CaMKKβ/AMPK信號通路調控脂代謝穩態。
結論:凡納濱對蝦飼料中添加0.1%溶血磷脂可有效替代2%大豆磷脂,具有最佳應用效果。

2 試驗設計
本研究由中國水產科學研究院南海水產研究所團隊完成,采用多組對照實驗設計,共設7個處理組,包括1個陽性對照組(添加2%大豆卵磷脂)和6個實驗組(分別添加0%、0.1%、0.5%、1%、1.5%和2%大豆溶血卵磷脂)。實驗周期為56天。
3 試驗數據
1 生長性能顯著提升
添加0.1%溶血卵磷脂的實驗組(RL0.1)表現出最高的體重增長率和特定生長率,并顯著提高粗脂肪表觀消化率。


2 抗氧化能力增強
盡管各組間抗氧化酶活性無顯著差異,但0.1%溶血卵磷脂的實驗組(RL0.1)的丙二醛(MDA)水平最低,提示其脂質過氧化程度最輕。隨著溶血卵磷脂劑量(0.1-2%)的增加,抗氧化基因的表達水平普遍呈現上升趨勢。RL0.1、RL0.5、RL1和RL1.5組的ER應激相關基因IRE表達量較RL0組顯著下降(p<0.05)。與RL0組相比,RL0.1組的ER應激相關基因ATF4表達量顯著下調(p<0.05)。這表明0.1%溶血卵磷脂能增強內質網應激的耐受能力。



3 蝦類脂質代謝變化

補充0.1%卵磷脂能顯著降低凡納濱對蝦血淋巴、肝胰腺及肌肉組織中的TG含量。
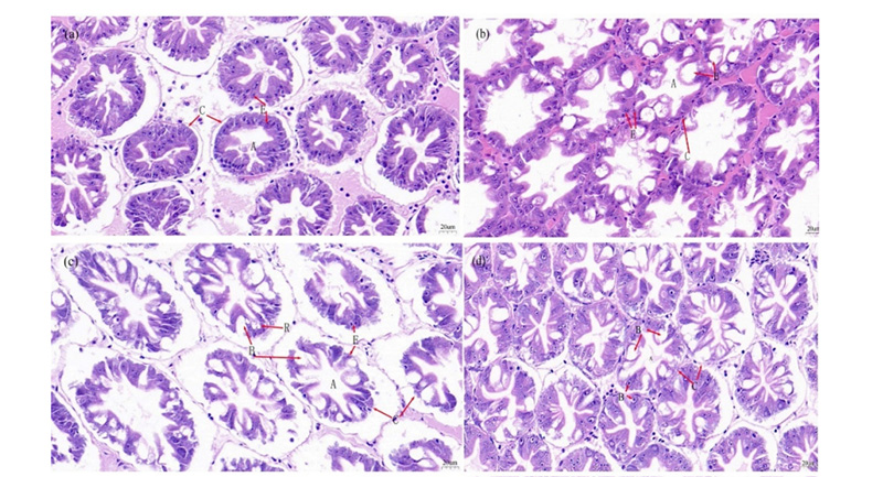
4 肝胰腺HE染色切片
RL0組顯示B細胞數量增加,星狀空腔變形,部分基底膜受損,且細胞體積增大,導致R細胞不易辨認。RL0.1組中,肝小管相對集中,B細胞和R細胞更密集,基底膜清晰可見。RL0.5組中,肝小管排列更緊密,B細胞和R細胞數量增多,基底膜仍可辨識。RL1組中,肝小管排列緊密,E細胞數量開始增加。RL1.5組中,肝小管排列松散,R細胞和E細胞數量增多,部分星狀空腔開始變形。RL2組中,肝小管分布更分散,E細胞數量增加,B細胞和R細胞數量減少。



4 結論
本研究發現,在凡納并對蝦飼料中添加0.1%溶血卵磷脂可顯著提升生長性能,改善脂質保留率和脂肪消化率,同時增強對內質網應激的抵抗力。該處理還能提高組織中omega-3脂肪酸含量,并促進脂質代謝相關基因的有益表達。此外,補充劑還能保護肝小管并維持脂質穩態。研究結果表明,0.1%溶血卵磷脂是最佳添加量,可替代實際飼料中2.0%的卵磷脂用量。